In Vivo Imaging Applications of Small Animal MRI Systems in Toxicology and Pathology

Published on: 2022-01-06 16:16
 

A new compact high-performance small-animal MRI platform (M3) combines an innovative magnet design with dedicated software to reduce the cost and complexity of traditional imaging systems. This new MRI platform enables pathologists without prior expertise in MRI or imaging to obtain high-quality in vivo MRI and ex vivo MRH images of laboratory animals. As a result, it greatly enhances conventional histopathological research in preclinical toxicology and animal disease-model development.

 

Unlike superconducting systems, the compact high-performance small-animal MRI platform is mobile and self-shielded. M3 can be installed in most laboratories or research facilities without the need for shielded rooms, cryogens, coolants, or specialised electrical or plumbing support. The platform also integrates dedicated hardware and software, pre-programmed protocols, and sample-handling systems—making high-throughput imaging of in vivo or ex vivo specimens straightforward for pathologists.

 

The advantages of the compact high-performance small-animal MRI platform include longitudinal monitoring of disease progression (in vivo MRI) and rapid acquisition of multiple ex vivo tissue slices (MRH). This provides detailed three-dimensional digital morphological data of entire target organs while keeping specimens intact for subsequent histopathological analysis. Compared with the limited two-dimensional slices from traditional histology, MRI offers a more comprehensive evaluation of toxicological effects and disease progression.

 
 

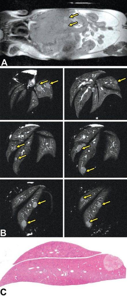
In vivo MRI detected focal liver injury in a mouse model (Fig. A). High-resolution ex vivo MRH identified several distinct focal fatty lesions in the liver (Fig. B and C). Routine histopathology confirmed these lesions as focal fatty changes (Fig. C).

 

Aspect M7™ Small-Animal MRI System

 

Phone Support

Phone: 400-060-3233

After-sales: 400-060-3233

WeChat Support
Official Account
TOP

Back to Top